
Dental Crowns Albuquerque New Mexico
Dental crowns traditionally require at least two office visits and the use of a temporary restoration.
We offer same-day crowns to save you both time and money.
Check out why so many turn to Parkway Dental in Albuquerque, NM, for this modern solution...
What Is a Dental Crown?
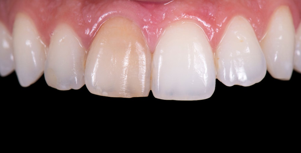
A dental crown is a porcelain, tooth-shaped cover that is fitted over the natural tooth following treatment for dental trauma or decay. Permanent crowns are often made of porcelain for their durability and natural-looking appearance.
Crowns can be used alone or with other dentistry procedures such as implants, dental bridges, and root canals. The CEREC® system allows our Albuquerque dentistry team to design and fabricate your custom permanent crown in one office visit.
CEREC Technology Keeps Us At the Forefront of Dentistry
Error: No $video_url from $page_url
URL or code copied from YouTube, Vimeo and other video sites should be entered in the Video field
Contact Us for Same-Day Dental Crowns Affordable, Advanced Dental Care
At Parkway Dental, we are dedicated to providing superior individualized dentistry in a compassionate and supportive environment. Our dentistry practice is led by Dr. Michael D. Haight, a dentist with over two decades of experience. We pride ourselves on using the latest technology in the field of dentistry to accurately and comfortably treat each patient.
We also believe that financial barriers should not prevent patients from obtaining dental crowns or other kinds of care. We offer affordable yearly memberships, Plan for Health, and financing options such as Compassionate Finance® to ensure treatment is affordable and accessible to the people of Albuquerque, NM, and the surrounding areas.
What Albuquerque, NM, Patients Say About Parkway Dental
Great place for dental work. All the latest technology. Great staff!
View on GoogleDr. Haight and the team at Parkway Dental are wonderful! Always professional, prompt, and kind, and they use the most modern dentistry technologies and safety protocols. Highly recommend.
View On Google
Same-Day Dental Crown Procedure
The Advantages of Same-Day Crowns
Get Fast Results Contact Us For Timely Treatment
At other practices, it can take several weeks to fabricate and place a crown, which can feel like a lifetime if you're looking for timely care.
At Parkway Dental, we can customize and place a dental crown in one appointment, which is a fraction of the time you'd spend waiting elsewhere. Whether you want to protect a damaged tooth or cosmetically enhance your smile with a crown, our team can give you prompt, high-quality results.
To request a same-day crown consultation at our Albuquerque practice, contact us online or call us at:
(505) 298-7479
"A Very Professional and Friendly Place..." Patients Trust Our Albuquerque, NM, Office
Excellent 5* care. Excellent Dentistry, gentle and compassionate care in a clinically “SAFE” environment where it’s obvious they care for YOU & your health & strive for the highest QUALITY of care!
View on GoogleI love going to the dentist now! This team is super organized and efficient, and the staff stays current on the latest technology and ways to maintain dental health.
View on Google
Watch As an Implant Is Paired With a Dental Crown
Need Implants? We Offer Full-Service Treatment
/
Many dentists have to refer out for dental implants. Dr. Haight, however, has 20 years of experience placing implants. He can carry out every step of your care, from tooth extractions, to implant placement, to crafting natural-looking same-day crowns.
Choose a Dentist Who Believes in Compassionate Care
If you're worried about judgment, it may help to know that our dentist, Dr. Haight, has seen many patients in the same situation as you. In fact, he had a similar experience, back when he sat down for his first appointment.
Right then and there, he found out that he had 10 cavities. His dentist immediately put him at ease with understanding and genuine care.
In the decades since, he has brought this same warm spirit to his practice and his patients.
If you're tired of putting off the care you need, contact our friendly Albuquerque team. You can also call us at
(505) 298-7479
Meet Our Dentist

An Albuquerque Patient's Parkway Dental Experience
"I told Dr. Haight that he is now officially "Doctor Gadget." It was amazing how a two week wait for a crown is now just two hours in the office. I’m thrilled with the result. Also, it was caught during my cleaning appointment with the fabulous Julie and then Dr. Gadget had an opening the next hour. So in just about four hours I was able to get rid of some decay and had a new crown!" Roxanne Duran
Placing a Crown After a Root Canal
If you've noticed the signs of an infected root canal, like sensitivity to hot or cold foods or drinks, contact our office immediately. Dr. Haight can give you the care you need — and the sooner you visit us, the easier your treatment will be.
Root canal therapy allows our dentist to clean the infected pulp in your tooth roots. Sometimes, patients don't need a crown to complete their treatment, since fillings can effectively seal the area.
However, if the structure of your natural tooth has been compromised, then you may need a crown to protect it. In that case, our dentist may be able to craft a lifelike same-day crown for you as you wait.

Do You Have Older Crowns? Visit Us for Brand-New Restorations
/
If you have crowns that have become worn or discolored over the years, Dr. Haight can use CEREC to fabricate new restorations that are customized to your smile and fit precisely, rejuvenating your appearance and strengthening your bite.
Dental Crown FAQ
Does getting a dental crown hurt?
Your dentist will numb the area before treatment begins. If you have dental anxiety or need a high level of pain management, we offer sedation options to ensure you are completely comfortable during treatment.
How long does a crown last?
With good oral hygiene and proper aftercare, dental crowns can last 10 years or longer.
Do I need to avoid certain foods?
Sticky or hard foods like caramel or ice can potentially damage your crown, especially in the first days after it's been placed. It is best to minimize or avoid eating those foods until your dentist advises you otherwise.
Do I need to brush and floss differently with a crown?
You can clean your dental crown just the same as you do for your natural teeth. Regular, thorough brushing and flossing will help keep your crown and the rest of your smile looking great.
How long does it take to recover after getting a crown?
There is very little downtime associated with getting a dental crown, and most patients are able to get back to their regular schedule immediately after the procedure. You may experience some sensitivity or swelling in the first few days after crown placement, but this can be managed with over-the-counter medication.
Patients Love Parkway Dental And Our Albuquerque Team
I have been going to Dr Haight for over twenty five years. Alway the best care and the best crew.
View on GoogleGreat team, very thorough, and friendly. I appreciate their professional and detailed approach to their patients.
View on Google







