
Veneers Cost
Veneers Cost Factors
Number of Veneers
Obviously, multiple veneers will cost more than a single veneer. In many cases, using a single veneer on a single tooth is not practical and multiple veneers are required for the best cosmetic results.
Associated Treatments
Patients who choose porcelain veneers often combine this treatment with other cosmetic procedures, such as teeth whitening or laser gum contouring. Some patients choose to bundle multiple cosmetic services in a comprehensive smile makeover. The more forms of cosmetic dentistry involved, the higher your overall cost will be.
Use of Sedation
The placement of dental veneers does not typically require sedation. Our dentists in Albuquerque, NM, can usually place the veneers using only local anesthetic. However, we do make many forms of sedation dentistry available to patients who may be made anxious by dental care. The use of sedation will increase the overall cost of treatment.
High-Quality Cosmetic Dentistry
Advanced Materials
Other practices cut costs by using veneers made of cheap composite materials. At Parkway Dental, however, we use veneers made from high-quality, porcelain-like ceramic. Porcelain can last twice as long as composite materials, plus it is more natural-looking and stain-resistant.
State-of-the-Art Technology
We are able to create porcelain veneers that perfectly blend in with your natural smile because of our sophisticated dental technology. For example, our 3-D cone beam scanner and digital x-ray machine provide us with detailed models of your bite without requiring you to bite into uncomfortable dental putty.
Experience and Expertise
After providing over 20 years of care, Dr. Michael D. Haight has earned a reputation as a first-class cosmetic dentist. In fact, at this point in his career, about 40 percent of his cases are full smile makeovers. A doctor specialized in cosmetic dentistry like Dr. Haight is the best choice for veneers.
Friendly Team
Our team focuses every day on making visits to our Albuquerque dental office as welcoming, easy, and stress-free as possible. When you choose us for porcelain veneers. You can expect our knowledgeable staff to tell you exactly what to expect at each stage of treatment and we are always available for questions.
We Have Over 200 5-Star Reviews on Google "You Guys Rock!"
I love going to the dentist now! This team is super organized and efficient, and the staff stays current on the latest technology and ways to maintain dental health.
View on Google
This Office is amazing! The staff was courteous and professional, my overall experience here was stellar to say the least. I would highly recommend any of my friends and family to make doctor Michael height their personal dentist. You guys rock! Keep up the great work.
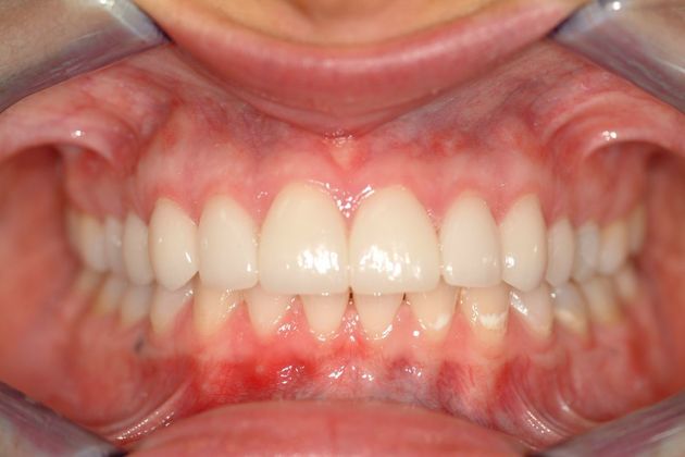
Natural-Looking Smile Enhancement
Financing Your Porcelain Veneers
Because porcelain veneers are an elective cosmetic treatment, they are not covered by dental insurance. However, we work with Compassionate™ Finance to allow our patients to pay for dental veneers in manageable monthly installments.
We like this third-party lender because it allows you to set your monthly payment amount. It also allows you to spread your payment schedule over a longer period than CareCredit® or other competitors allow.
Other financial benefits are available by joining our annual membership plan. If you have any questions about membership plans or financing the cost of veneers, contact our dental practice today.
Find Out What Veneers Will Cost You Request a Consultation Today
At Parkway Dental in Albuquerque, NM, porcelain veneers start at $1,491 per tooth. For a quote on what exactly porcelain veneers will cost you, request a consultation with our dentists today.
During your initial consultation, our dentist, Dr. Michael D. Haight, will ask about your goals and examine your oral health to determine your candidacy for cosmetic dentistry. They will also take a look at the tooth or teeth that may require a veneer. If we think that porcelain veneers are the right choice for your smile, we will provide an exact quote for your unique treatment.
Requesting a consultation at our office is easy. You can fill out our convenient appointment-request form, or you can give us a call at
(505) 298-7479

See How Veneers Work
More 5-Star Reviews "They Are Wonderful"
Dr. Haight and the entire Parkway Dental team are fantastic! Super gentle, professional, and cutting edge . If you have a dentist, switch to Parkway! If you don’t have a dentist yet, look no further. They are wonderful and I can’t rave enough about the level of care you will receive here.
Absolutely love the Doctors! They really give you the best care and I appreciate how gentle they are with their patients! Everybody there is so positive and up beat. They really know how to make their patients comfortable. Parkway Dental is the best!!!
Bundle Multiple Treatments with a Smile Makeover
If you are looking to upgrade your smile, why stop with porcelain veneers? At Parkway Dental, our dentists design and execute custom-made smile makeover plans. These treatment plans combine multiple cosmetic treatments to totally overhaul the appearance of your smile. Also, when you bundle several procedures together, we are often able to offer discounts.
Besides porcelain veneers, services that can be included in a smile makeover include:
If you are curious about a smile makeover with our expert cosmetic dentists, request a consultation at our Albuquerque office today. We look forward to helping you achieve a bright, healthy smile you'll love to share.










