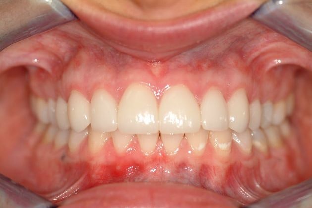
Smile Makeover
Imagine you are on a date, delivering a work presentation, or taking a photo. Are you covering your smile to hide imperfections?
If you are unhappy with the way your smile looks, a smile makeover can conceal stains, misshapen teeth, and other cosmetic concerns.
Learn how a smile makeover in Albuquerque, NM, from Parkway Dental can help you feel more confident in your personal and professional life.
What Is a Smile Makeover?
A smile makeover is a custom combination of cosmetic dentistry procedures aimed at concealing or correcting a variety of cosmetic flaws. This treatment is the perfect solution for patients who want to address multiple imperfections rather than a single flaw.
In many cases, Dr. Michael Haight can perform more than one smile makeover procedure in a single appointment, reducing the overall number of office visits needed to achieve the desired results.
Why Choose Parkway Dental for Your Smile Makeover?
Recognized for Cosmetic Dentistry
Dr. Michael Haight is an accomplished cosmetic dentist. He is particularly skilled at dental bonding, which requires a careful hand and incredible attention to detail in order to produce natural-looking results.
Smile Makeover Experience
While other dentists perform a few smile makeovers each year, we perform many. Smile makeovers constitute about 40 percent of the dental work that we perform at our Albuquerque, NM, dentist's office.
Impressive Technology
Our practice is equipped with several advanced tools including a 3-D cone beam scanner for accurate diagnosis, dental lasers for comfortable gum treatments, and CEREC® for the faster fabrication of crowns.
Comprehensive Services
As comprehensive dentists, Dr. Haight and his team can perform all dental procedures at their office, so you won't have to worry about hopping back and forth between dentists to complete your smile transformation.
Let's Start Planning Your Beautiful Smile Request a Free Consultation
With smile makeovers accounting for nearly half of the work we perform, you can depend on us for the expertise, artistic sensibilities, and exceptional skill it takes to transform your smile into a powerful new source of confidence and satisfaction in your life.
Dr. Michael D. Haight has earned a reputation as the dentist to see when you want the most from an investment in cosmetic dentistry, and we invite you to find out for yourself why he has earned the trust of so many patients throughout Greater Albuquerque, NM.
During your free consultation, Dr. Haight can assess your oral health, take note of what you want to achieve, and then help you explore how treatments like veneers, whitening, and clear orthodontics can make your smile more attractive and charismatic than ever before. Reach out today to request your private consultation with Dr. Haight. You can send us a message online or call our office:

The Patient Experience
Staff is very professional and friendly. They provide clients with good information and advice. Never a long wait and they do a great job getting clients in and out.
View on GoogleExcellent, professional and very friendly staff. They were very thorough. They explained every step in detail. I felt very comfortable with my visit. Dr. Michael Haight did a thorough evaluation and made it easy for me to understand. I’m looking forward to my next visit.
View on Google
Straighten Your Teeth With SureSmile
Are You a Good Candidate for a Smile Makeover?
In general, the best candidates are patients who want to address two or more cosmetic flaws and are in good oral health. If you are suffering from tooth decay or gum disease, our dentist must address those conditions prior to moving forward with cosmetic dentistry treatments. Some of the imperfections this comprehensive treatment plan can address include:
- Extrinsic (surface) and intrinsic (internal) dental stains
- Minor damage, such as a chipped tooth
- Misshapen or eroded teeth
- Gapped teeth
- Slight overlapping or crooked teeth
Dental Implants Enhance Both Your Appearance and Your Health
While Dr. Haight is recognized for his cosmetic dentistry work, he also excels at restorative dentistry. To replace missing teeth, Dr. Haight can place and restore dental implants at his Albuquerque office. If you need a dental restoration such as a dental crown, bridge, or denture as part of your smile rehabilitation, Dr. Haight can provide your dental care in-office, too. Dr. Haight is a member of the International Congress of Oral Implantologists who uses the latest technology when planning your surgery, making him an excellent choice for patients who need dental implants.
Real Reviews, Real Patients
Parkway is the best dentist I’ve ever been to. I could not recommend them enough. Dr Height is excellent, the staff is great. 10/10
View on GoogleHad the most amazing visit at this office the friendlyist staff ever and very accommodating Dr Haight is great thanks
View on GoogleSame-Day Dental Crowns
What to Expect During Your Treatment
How Much Does a Smile Makeover Cost?
Because every smile makeover is unique to the patient's needs, we provide a quote during your first consultation at our Albuquerque, NM, dental office. The cost of your treatment will depend on your individual aesthetic concerns, the procedures included in your treatment, and the condition of your smile.
It is important to note that insurance rarely covers the cost of cosmetic treatments. To make your dream smile more affordable, our cosmetic dentist offers cost-effective financing options through third-party lenders including Compassionate Finance.
Frequently Asked Questions About Smile Makeovers in Albuquerque
Q. Does a smile makeover hurt?
A. No. Many makeover treatments, like veneers and teeth whitening, are practically painless. For other treatments that require more significant alterations to the tooth, like dental crowns, we will thoroughly numb the treatment area with a local anesthetic before beginning. We also have sedation options for those who feel they could benefit from an extra level of comfort.
Q. How long does a smile makeover take?
A. This will depend on your unique treatment plan. Some treatments, like dental crowns, can be completed in as little as one appointment thanks to our CEREC technology. However, addressing issues such as crooked teeth with clear aligners like Invisalign or SureSmile can take 12–24 months, depending on the complexity of your case. Once you and your dentist develop your custom smile makeover treatment plan, we can provide you with a more accurate timeline.
Q. Can I combine restorative dentistry treatments in my smile makeover?
A. Generally speaking, you must be in good oral health before undergoing cosmetic treatments, but some restorative treatments, like dental crowns and dental implants, offer cosmetic benefits at the same time. If you have issues like tooth decay and gum disease, Dr. Haight can address these at our Albuquerque practice so that you have a healthy foundation for cosmetic treatments. If your concerns mainly have to do with the health and function of your smile, we can explore full mouth reconstruction instead. This treatment plan combines restorative procedures for streamlined care, just like a smile makeover combines cosmetic procedures.
Have more questions about a smile makeover? Ready to start your smile transformation journey?
Why Albuquerque Chooses Parkway Dental
Dr. Haight has been my dentist for 29 years (minus a few years I’ve lived elsewhere). His staff always makes time for my needs, addresses them quickly, and is very friendly. He has repeatedly gone above and beyond to take care of me including staying late so I could get to camp as a kid the next day without pain. He is constantly investing in new technology to give you faster better care like 2 hour crowns, comprehensive X-rays, and lasers for working on kids without pain/numbing medication. I would pay cash to see Dr. Haight if my insurance ever stops working with him.
View on GoogleI would highly recommend Parkway Dental , Dr. Michael to anybody. My experience at Parkway Dental was extremely friendly, and all staff took pride in their work. I’m extremely happy with my experience and as long as my wife and I are in Albuquerque New Mexico, we will not be going to any other dentist but Dr. Michael at Parkway Dental . Dr. Michael I would like to thank you for a great experience. And you are blessed with great employees. Wish you all many blessings.. Thanks Shawn Elston
View on Google








